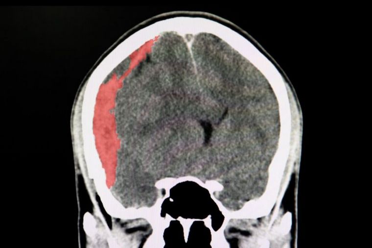
Qué es un hematoma subdural, motivo de operación a Maradona
Se trata de una pequeña acumulación de sangre entre las membranas que recubren el cerebro. Puede producirse por traumatismos o consumo de medicamentos anticoagulantes. La explicación de especialistas.
03/11/2020 | 18:39Redacción Cadena 3
El director médico de Hospital Privado, Ricardo Pickesteiner (MP 23062/5), explicó a Cadena 3 que los hematomas cerebrales generalmente no revisten mayor gravedad.
“La ruptura o sangrado de una de las venas de la membrana de la duramadre es provocada por traumatismos o traumatismos banales de cráneo cefálicos”, señaló.
/Inicio Código Embebido/
Mirá también
La salud del astro
/Fin Código Embebido/
Inicialmente no general síntomas, ya que el sangrado o la producción de este hematoma se generan muy lentamente, y la aparición de síntomas precisos son tardíos.
“Son frecuenten también en pacientes que toman anticoagulantes o antiagregantes, como las aspirinas o anticoagulantes por arritmia”, ejemplificó.
Generalmente no revisten gravedad, salvo que estén localizadas en lugares que produzcan síntomas importantes y se requiere una intervención quirúrgica. “De lo contrario, la gran mayoría de los casos sólo necesitan observación y control”, concluyó Pickesteiner.
Por su parte, el jefe del servicio de Neurología del Instituto Modelo de Cardiología, Daniel Velázquez (MP: 24808), explicó a Cadena 3 que el hematoma puede ser agudo (reciente, con pocos días de evolución), subagudo (con varios días) o crónico.
“No sangran permanentemente, sino que sangra y se produce una membrana alrededor del hematoma, que atrae líquido a su interior. Es una membrana semipermeable que permite que entre líquido pero no que salga, por eso aumenta su tamaño”, especificó.
El especialista apuntó que en ocasiones se detecta porque genera problemas para caminar, ubicarse y hasta “cuadros de demencia”, porque el paciente empieza a perderse o a perder funciones motoras.
Por la evolución de Maradona, consideró que parece ser un cuadro subagudo o crónico, donde el procedimiento “no es tan invasivo porque la sangre es espesa”. Aclaró en ese sentido que es una cirugía que no es de alta complicación, pero que hay que tomar los recaudos adecuados. En general, la recuperación suele ser buena y rápida.
El astro Diego Armando Maradona, actual entrenador de Gimnasia, deberá ser operado de un hematoma subdural en la cabeza luego de los estudios que se le realizaron en una clínica de la ciudad bonaerense de La Plata.
Informe de Juan Pablo Estela. Entrevista de "Tiempo de Juego".





