Diagnóstico devastador
05/04/2022 | 10:14 | Es la historia de Oliver Cooper Grace, un joven de 22 años que sufrió dolores de cabeza por meses y todos los médicos lo mandaban a casa. Uno lo revisó bien y el diagnóstico fue devastador.
Oliver Cooper Grace, un joven británico, cuenta su historia de vida para concientizar sobre la importancia de hacerse chequeos, y escuchar los síntomas tanto para uno como para los médicos.
Es que Oliver estuvo meses con dolores de cabeza, mareos y sensación de debilidad pero cada vez que iba a hacerse atender por los especialistas, éstos lo enviaban nuevamente a casa sin hacerle estudios en profundidad para encontrar la razón por la que sufría dolores.
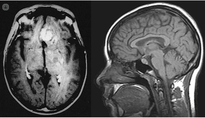
Una noche se le sumó vómitos, lo que causó que el médico de turno que lo vio le dijera que no iba a volver a casa. Le hicieron una tomografía y el diagnóstico fue devastador: un tumor cerebral. Estaba tan avanzado que le confirmaron que estaba a días de entrar en un coma debido al tamaño del mismo, por lo que tuvo que atravesar una cirugía de urgencia donde le extirparon el 70% del tumor.

"Ser diagnosticado con un tumor cerebral en cierto punto resulta un alivio. Pensaba que algo andaba muy mal, por lo que es bueno saber qué era y que me dijeran qué tratamiento esperaría", contó Oliver sobre ese difícil momento.
La médica Shaveta Mehta, oncóloga clínica que supervisa la salud de Oliver, explicó: "La detección temprana de tumores cerebrales sigue siendo un desafío, especialmente en personas jóvenes, ya que estos tumores son muy raros y los síntomas pueden ser vagos".
Además la doctora explicó que esos síntomas suelen ser comunes y "es por eso que muchas veces no son analizados como es debido".
Oliver, una semana después de su operación, regresó a su casa para festejar su cumpleaños con todos sus amigos que cayeron con la cabeza rapada para sorprenderlo.